[메가경제 유지훈 기자] 우리나라는 관대한 음주문화로 인해 음주율, 사회적 과음자율, 알코올중독자율 모두 높은 나라에 속한다. 이렇다 보니 우리나라 국민정신건강 실태조사에서도 알코올 의존증은 정신과적 질환 중 단연 높은 유병률을 보인다.
과도한 음주의 폐해는 개인적인 범주에 끝나지 않는다는 데 더 큰 문제가 있다. 가정적·사회적으로 여러 문제를 일으키고 사회적 손실을 초래한다.
하지만 또 다른 문제는 알코올 중독에 대한 그릇된 생각이나 편견, 인식부족으로 인해 증상을 숨기거나 치료를 꺼려해 제때 적절한 조치를 받지 못한다는 데 있다.
흔히 ‘알코올중독(알코올의존증)’은 미국 정신의학회의 장애진단 통계편람(DSM-5)에서는 ‘알코올사용장애’(Alcohol use disorders)라고 부른다. 과도한 음주로 인한 정신적, 신체적, 가회적 기능에 장애가 오는 증상을 일컫는다. 정신의학자들은 ‘알코올중독자’가 아니라 ‘알코올 문제를 가진 사람’으로 불러야한다고 설명한다.
18일 오후 방송되는 KBS 1TV '생로병사의 비밀‘은 ’술 권하는 사회‘인 우리나라의 너그러운 음주문화로 인해 생기는 ’과음의 경고‘를 진단할 예정이다. 그리고 습관적인 음주와 과음 등으로 알코올이 우리 신체에 일으키는 다양한 질환과 함께 금주·절주 방법에 대해서 알아본다.
지난날 과음으로 죽음의 문턱에까지 갔다온 가수 박일준의 건강 회복 스토리와 금과옥조 같은 조언도 듣는다.
‘알코올’은 세계보건기구(WHO)에서 1급 발암물질로 지정돼 있다.
우리나라의 관대한 음주문화는 과음과 폭음으로 이어지고 순간적으로 기억을 까맣게 잊어버리는 블랙아웃 현상을 일으킨다. 급기야 간경변(간경화)증 같은 알코올성 간 질환으로 발전한다.
이날 방송 예고에 따르면, 음주 후 홍조가 있는 사람은 음주로 인한 심장질환을 의심해 봐야 한다. 빈번한 음주로 인해 심방세동이 일어날 가능성이 높다는 것이다.
이날 ‘생로병사의 비밀’에서는 음주로 인한 알코올이 우리의 뇌와 간, 심장에 미치는 악영향과 관련한 최신 연구 내용과 진단 및 치료법을 비롯해 술을 끊을 수 있는 절주 수칙 등에 대해 전할 예정이다.
술을 마시는 동안 인간의 뇌는 고통받는다. 잦은 음주와 과음은 블랙아웃 증상을 일으키고, 술 없이 잠에 들지 못하게 만들기도 한다. 기억력에 영향을 주는 알코올성 치매로 번지기도 한다.
“심방세동이 있는 분들은 뇌경색 발생 위험도가 보통 사람보다 굉장히 높다고 한다”
이날 ‘생로병사의 비밀’에는 알코올성 치매 전 단계와 ‘알코올 사용 장애’(알코올 의존증, 알코올 중독증) 판정을 받은 두 사람의 사례를 통해 잦은 음주와 과음이 우리 뇌에 미치는 영향과 치료법을 알아본다.
알코올성 치매가 중증으로 진행되면 치료가 어렵다고 한다. 하지만 알코올 사용 장애와 알코올성 치매 전 단계까지는 술을 끊으면 회복할 가능성이 있다고 한다. 이 때문에 알코올로 기억력이 떨어진다고 느끼면 검사와 치료가 필요하다고 예고했다.
알코올은 뇌만이 아니라 간과 심장을 위협한다.
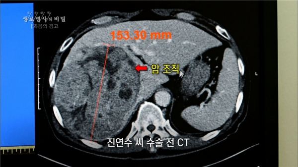
우선, 간은 알코올을 분해하는 데 가장 중요한 장기인 만큼, 알코올에 의한 손상도 그만큼 심하게 받는다. 이날 ‘생로병사의 비밀’에서는 수십년 간 과음으로 인해 간 수치가 이상해 검사를 받은 결과 간암 판장을 받은 사례와, 과거의 음주력으로 인해 간경화 증세를 동반한 초기 간암을 진단 받은 사례를 소개한다.
알코올은 심장에도 영향을 준다. 이날 방송에서는 술을 마신 후 숨이 찬다거나 가슴에 통증을 느끼는 사례 등 음주 후 심장에 이상 증상을 느낀다는 5명의 지원자를 상대로 24시간 심전도 검사를 진행한 결과도 공개된다.
알코올 사용 장애 진단 기준은 무엇이고, 건강한 음주 문화를 위한 절주 수칙은 어떤 게 있을까?
이날 ‘생로병사의 비밀’은 알코올 사용 장애 진단 기준과 절주 수칙을 소개할 예정이다.
알코올 사용 장애 진단 기준은 ▲술에 대한 갈망, ▲술의 양이 늘어나는 내성, ▲일상생활의 파괴, ▲술을 안 마시면 불안 등의 금단 현상 등이다
절주 수칙은 ▲술을 따를 땐 1/2잔만, ▲마실 땐 여러 번 나눠서, ▲술을 마실 땐 물과 함께, ▲술자리는 1차만 등이다.
“금주는 못 해도 절주는 해주시기 바랍니다. 많이 드시는 분은 금주해 주시고”
이날 방송에는 과거 과음으로 인해 간경화가 왔고 합병증 중 하나인 식도정맥류 파열로 인해 6번의 수술을 받았다는 가수 박일준(65)이 출연해 금주와 규칙적인 운동의 중요성을 강조할 예정이다.
그는 죽음의 문턱에서 금주를 통해 건강을 되찾고 규칙적인 운동을 통해 다시 바쁜 나날을 보내고 있다고 전한다.
이날 방송에서는 알코올 사용 장애 판정을 받은 뒤 가상현실(VR) 치료를 끝낸 유재홍씨가 2주 후 어떤 일상을 보내고 있는지도 공개할 예정이다.
[저작권자ⓒ 메가경제. 무단전재-재배포 금지]


















































































